うえの犬猫病院は犬、猫専門の動物病院です。

市川市、西船橋地域を中心に飼い主さんの立場にたった医療を提供いたします。

採用情報

症例紹介

僧房弁閉鎖不全

僧房弁閉鎖不全はすべての犬種で発生する可能性がありますが、特に小型犬で一番多い心臓病です。僧房弁は心臓での血液の流れを左心房から左心室へ一方通行にコントロールする働きをしています。しかし、高齢などで弁の働きが悪くなると血液が逆流するようになり、心臓や肺に血液が滞る事で症状が出てきます。

症状は

初期では無症状ですが、心臓の聴診を行うと心雑音が聞こえます。この心雑音は病状が進行すると段々と大きくなります。また、咳が出るようにもなります。この咳は、大きくなった心臓が気管支を物理的に刺激して出る場合もあれば、うっ滞した血液により肺に水がたまって肺水腫を起こすことで出る場合もあります。肺水腫になると酸素交換ができなくて苦しそうにゼーゼーと呼吸し、ひどくなると横にもなれずにお座りの姿勢をとります。この肺水腫というのは緊急に対処しなければならない状態で、放置すると生命に関わります。

診断は

聴診で心疾患を疑いますが、実際の心臓の状態は X 線検査や超音波検査、心電図検査を行うことで判定します。

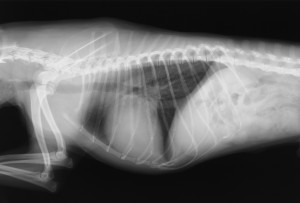
左の画像は犬の胸部 X 線画像です。

この子は健診で心雑音が聴取されたため、心臓の検査を行いました。結果、心拡大はあるものの、症状は無い状態(ACVIM 分類のステージ B2)だったので、血管 拡張薬の投薬を開始しました。

正常な心臓の超音波画像です。

LA が左心房で、LV が左心室です。 血液は LA から LV に一方通行に流れます。

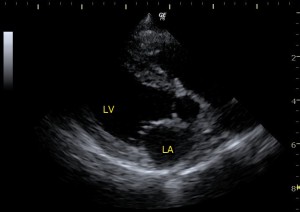
僧房弁閉鎖不全の子の心臓の超音波画像です。

上の画像と見比べるとLAの部分が大きくなっています。これはLVからLAに血液が逆流して起こります。LAの部分に血液が溜まって圧力がかかっていくのでLAが大きくなっていきます。

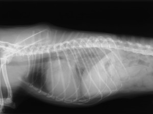
上の子が肺水腫になってしまった時の胸部X線画像です。

心臓はさらに大きくなり、特に心臓のうしろ(画像でいうと心臓の右側)が白く写っています。この部分に水が溜まっているということです。こうなると入院し、酸素室で集中治療を行う必要があります。

治療は

心臓の状態により治療は変わっていきます。ごく初期の段階では薬物療法は行わず、塩分を抑えた食餌や激しい運動の回避が推奨されます。病状が進んで心臓が大きくなってくるようなら、血管拡張薬で血圧を下げて心臓にかかる負担を減らします。心拡大が原因の咳では鎮咳薬を使用することもあります。

重度になり肺水腫などのうっ血性心不全の症状が出る場合は強心薬と利尿剤を追加します。症状がおさまらない場合はさらに薬を追加します。

肺水腫は緊急疾患であり、その治療はスタートが肝心です。入院して酸素室に入ってもらい、注射や点滴で投薬します。薬が効いて徐々に肺水腫が改善してきたら酸素濃度を大気に近づけて投薬を内服に切り替えていきます。

僧房弁閉鎖不全の治療は、生涯を通しての投薬が必要になります。投薬を続けるのは大変ですが、それにより寿命を延ばすことができ QOL の向上が得られます。

また、一部の専門病院では外科手術により治療を行うことができます。

予後

僧房弁閉鎖不全の進行スピードは個々の状態によって異なります。

初期に治療をスタートできた場合は 2~4 年間、無症状で過ごせる可能性があります。また、肺水腫が起こってしまった場合でも適切にコントロールできた場合は長期の生存も期待できます。

各種取扱保険

取扱クレジットカード

トリミングのご紹介&フォトギャラリー

トリミングは月・火・水・金・土の週5日受付。

完全予約制となっております。

ご予約は、お電話又は病院内受付にて承ります。

また料金、ご不明な点に関しましては

お気軽にお尋ねください。

トリミングご希望の方はこちらへ

COPYRIGHT © UENO DOGS & CATS HOSPITAL ALL RIGHTS RESERVED.