うえの犬猫病院は犬、猫専門の動物病院です。

市川市、西船橋地域を中心に飼い主さんの立場にたった医療を提供いたします。

採用情報

症例紹介

胆のう粘液嚢腫

胆のう粘液嚢腫とは

胆のう粘液嚢腫は、肝臓の隣にある「胆のう」という袋にゼリー状のものが溜まってしまう病気です。胆のうは本来であれば胆汁という消化液を蓄積して十二指腸に分泌しているのですが、胆のう粘液嚢腫になるとその流れが詰まったり胆のうが破裂して消化液が腹腔内に漏れたりして症状を引き越します。

原因は

原因はまだはっきりわかってはいませんが、遺伝やホルモンの病気、高脂血症が関連しているといわれています。一説によると血液中の脂肪分が多いと胆のうの内側から産生されるムチン(ゼリー状の物質)の量が多くなり、それが胆のうに蓄積されることで胆のう粘液嚢腫になるとされています。

健康な子の胆嚢の超音波画像です。中心の黒く抜けている部分が胆嚢内の胆汁で、その下の暗めの灰色の部分は胆泥です。健康な子でも少しくらいの胆泥があることはよくあります。

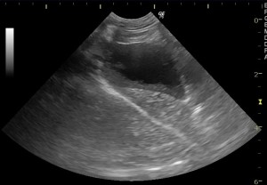
胆嚢粘液嚢腫の子の超音波画像です。画像の左に位置しているのが膨れ上がった胆嚢です。胆嚢の内壁部分の黒く抜けて見える部分は胆汁ではなくムチンで、その中心の白くなっている部分が濃縮された胆泥です。

症状は

症状は、ほとんどの場合は胆管閉塞か胆のう破裂が起きることで引き起こされます。食欲・元気の低下や嘔吐、腹痛を示します。また、体が黄色くなる黄疸という症状が出ることもあります。これらの症状は急に出ることもあります。

しかし、症状が無くて健康診断などで偶然に胆のう粘液嚢腫が見つかる場合もあります。

治療は

症状が無い場合は胆汁の流れを良くする薬や低脂肪食の給与などの内科療法を行います。内科療法では完治はできませんが、寿命まで症状を出さずにコントロールできる可能性があります。根治を目指す場合は外科的に胆のうを取る手術になります。

いざ胆のうが破裂して症状が出てしまっている場合は、内科的な治療では見込みが薄いため外科的な治療が必要になります。胆のうの切除と腹腔内の洗浄を行います。ただし、胆のう破裂を起こして腹膜炎や膵炎を併発している状態では、術中や術後に亡くなってしまう危険性もあります。

胆嚢粘液嚢腫の手術風景。胆嚢を摘出したところ、内部には大量の餅状の物質が詰まっていました。

予後は

手術を乗り切れれば完治が期待できます。また、症状が無い場合は内科療法で長期間コントロールできる場合も多いですが、悪化して症状が出る場合もあるので定期的に検査が必要になります。

各種取扱保険

取扱クレジットカード

トリミングのご紹介&フォトギャラリー

トリミングは月・火・水・金・土の週5日受付。

完全予約制となっております。

ご予約は、お電話又は病院内受付にて承ります。

また料金、ご不明な点に関しましては

お気軽にお尋ねください。

トリミングご希望の方はこちらへ

COPYRIGHT © UENO DOGS & CATS HOSPITAL ALL RIGHTS RESERVED.