うえの犬猫病院は犬、猫専門の動物病院です。

市川市、西船橋地域を中心に飼い主さんの立場にたった医療を提供いたします。

採用情報

症例紹介

腰部の椎間板ヘルニア

椎間板ヘルニアは、背骨と背骨の間の椎間板の中身が脊髄側に突出して神経を圧迫・傷害して起こる病気です。脊髄の圧迫部位により麻痺を生じる場所が違い、腰部では下半身に症状が出てきます。

軽度のものでは「抱き上げるとどこかを痛がる」「ソファに飛び乗れない」「段差を嫌がる」といった痛みからくるものが症状として出てきます。重度になると脊髄が損傷されて下半身が麻痺し、「立てない」「自分で排泄できない」といった症状となります。

ダックスフント、コーギー、ペキニーズなどの犬種で好発します。

診断は?

上記の症状で椎間板ヘルニアを疑います。触診で神経の反応具合をチェックし、症状が重度な場合はCTやMRI検査で神経の圧迫部位を調べます。また、脊髄の圧迫、四肢の麻痺を起こす病気は椎間板ヘルニア以外にも脊髄腫瘍や脊髄梗塞などがあり、MRI検査はこれらを鑑別するのに役立ちます。なお、MRI検査の機械は当院には無いため、外部の検査センター(キャミック)まで行っていただいております。

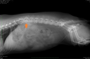
左の画像はX線写真で、左の画像はMRI検査の写真です。橙矢印が椎間板物質が飛び出していた部分ですが、X写真では脊髄の様子は分りませんが、MRI検査では脊髄が圧迫されている様子がよく分かります。

また、この画像もMRI検査の物ですが、飛び出した椎間板が造影剤で白く映し出されている様子も確認できました。

治療は?

軽度なものでは対症療法とともに安静が第一の治療であり、ケージレスト(ケージの中で安静)させます。ケージに入ると興奮して逆に安静にできない場合は外に出さざるを得ないケースもありますが、基本的には動かない事が治療となります。

重度のものでは手術が必要になります。手術により神経を圧迫している椎間板物質を取り出し、その後は約2週間ほど入院して安静とリハビリを行います。

脊髄を一部露出させて飛び出した椎間板物質を摘出し、脊髄が圧迫されていた原因を除去します。

最後に

軽度のものは内科療法のみで回復する事が多いですが、重度になると手術が必要になります。重症度と発症から手術を行うまでの時間により回復する確率は変わってきます。発症したらすぐに病院に連れてくるようにしてください。

また、肥満や運動不足、急激な激しい運動が発症の要因になりますのでお気を付けください。

各種取扱保険

取扱クレジットカード

トリミングのご紹介&フォトギャラリー

トリミングは月・火・水・金・土の週5日受付。

完全予約制となっております。

ご予約は、お電話又は病院内受付にて承ります。

また料金、ご不明な点に関しましては

お気軽にお尋ねください。

トリミングご希望の方はこちらへ

COPYRIGHT © UENO DOGS & CATS HOSPITAL ALL RIGHTS RESERVED.