うえの犬猫病院は犬、猫専門の動物病院です。

市川市、西船橋地域を中心に飼い主さんの立場にたった医療を提供いたします。

採用情報

症例紹介

膵炎

膵炎とは

膵炎は、本来なら消化管内で消化酵素として働く膵液が誤って膵臓内で活性化してしまい、膵臓やまわりの組織を巻き込んで炎症や壊死を起こしてしまう病気です。品種、肥満、高脂血症、食事、体質、薬剤、ストレスなどが膵炎を引き起こすと言われています。

症状は

犬では主なものは突然の元気消失と食欲不振・嘔吐・下痢・腹痛などの消化器症状です。腹痛は動物ではわかりづらく、頭を下げておしりを上げる「お祈りのポーズ」の姿勢をとったり、上腹部を噛んだり触わるのを嫌がるような行動を示すこともあります。また、重症化すると黄疸、腎不全、糖尿病、止血異常などを併発し生命に関わる場合もあります。さらに、膵炎は慢性化する場合があり、そうなると間欠的な食欲不振と嘔吐が続きます。

猫では食欲不振や嘔吐といった特徴的でない症状の場合が多いです。

診断は

血液検査で膵特異的リパーゼが高値であることや、超音波で膵臓の見え方やまわりの臓器の異常を確認することで診断を行います。もちろん消化器症状を引き起こす疾患は他にもたくさんあるので、全体をチェックして他の疾患を併発していないかどうかが重要になります。

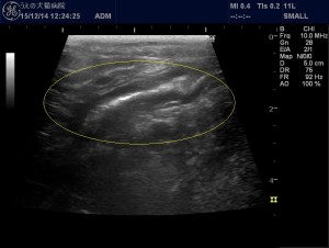
こちらは腸の超音波画像になります。

小腸を黄色丸で囲ってあります。これは正常な部分の腸です。

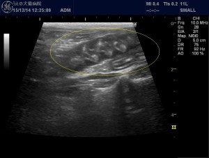
こちらは腸の別の部分の超音波画像です。

黄色丸で囲った部分が異常な腸の部分で、コルゲートサインと呼ばれる腸の内腔がウネウネした所見がみられます。これだけでは膵炎と診断できませんが、他の検査も行うことで膵炎と診断できました。

治療は

まずは全身と局所(膵臓)の循環を改善するために点滴を行います。また、対症療法として吐き気止めや痛み止めを使います。軽度な膵炎は適切な対症療法で良くなりますが、重症化した場合は合併症の治療も行う必要があります。

その後は

重症化したものは集中的な治療を行っても予後が悪い場合が少なくありません。なるべく軽度な段階で治療を開始できるのが理想です。また、膵炎は良くなっても再発することがよくあります。膵炎の発生には食習慣(肥満、高脂血症、食事)が関与していると言われているため、食事のコントロールが重要になります。

各種取扱保険

取扱クレジットカード

トリミングのご紹介&フォトギャラリー

トリミングは月・火・水・金・土の週5日受付。

完全予約制となっております。

ご予約は、お電話又は病院内受付にて承ります。

また料金、ご不明な点に関しましては

お気軽にお尋ねください。

トリミングご希望の方はこちらへ

COPYRIGHT © UENO DOGS & CATS HOSPITAL ALL RIGHTS RESERVED.